提高宫颈组织诊断准确性,实现宫颈疾病有效管理

 

宫颈癌是中国女性第二大最常见的恶性肿瘤,每年新发病例约13万,占世界总发病数的28%。导致宫颈癌的主要原因是人乳头瘤病毒(HPV)的持续感染,超过99%的宫颈癌都由高危型HPV引起,约需8-12年发展为癌症。宫颈癌癌前病变即宫颈上皮内瘤样病变(CIN)按严重程度可分为CIN1CIN2CIN3,不同阶段对应的治疗策略也不同。

美国阴道镜和宫颈病理协会(American Society for Colposcopy and Cervical Pathology, ASCCP)发布的《宫颈上皮内瘤变或原位腺癌处理指南(2006版)》指出:未经治疗的CIN1具有较高的自然消退率和较低的癌变率,不论阴道镜检查满意与否,对因低度宫颈细胞学结果转诊而明确的CIN1,细胞学密切随访是唯一的处理建议,不主张治疗,尤其是对青春期女性而言;而CIN2CIN3由于恶化成癌症的风险很高,且CIN2CIN3病变更易反复,应及时治疗并在治疗后进行随访。不合理的治疗可以增加罹患宫颈癌的风险,过度治疗会增加引发并发症的几率。因此,尽早筛查,及时对CIN进行准确分级并选择合适的处理方案是防治宫颈癌、降低疾病死亡率的重要手段。

 

现有诊断标准H&E判读有局限

宫颈疾病患者管理决策由宫颈活检诊断的精确度驱动。目前常用的诊断方法是苏木精-伊红染色法(H&E)。尽管H&E判读是目前对CIN进行分级的标准,但易受到病理医生主观因素以及宫颈上皮化生、萎缩、修复的变化等原因的影响,进而导致H&E判读的重复性差、诊断准确度不够高。因此,临床上迫切需要更客观、准确度更高的判断标准。

 

p16INK4a:宫颈癌和CIN病变的生物标志物

作为细胞周期蛋白依赖性激酶抑制剂基因的家族成员,p16INK4a可使视网膜母细胞瘤(pRB)处于非磷酸化或低磷酸化状态而能与E2F结合,从而抑制DNA合成,阻止细胞由G1期进入S期,抑制细胞增殖。

健康的鳞状上皮基底和副基底层细胞大部分的时间处于细胞周期停滞期(不分裂),女性体内的激素每隔几周会发出信号催促细胞进入分裂期,接受信号之后pRB蛋白复合物与转录因子E2FE2promotering binding factor)蛋白分离,导致细胞有丝分裂。而上皮细胞在分裂以后低水平表达p16INK4a,有利于促使pRBE2F重新结合,使细胞周期再次进入停滞期。因此,正常情况下,免疫组化(Immunohistochemistry, IHC)法无法检测出p16 INK4a蛋白表达

感染HPV后,病毒DNA被转染到基底细胞,在分化的细胞层中复制,并产生新的感染性颗粒。但短时间的HPV感染不会影响细胞周期调控机制,绝大多数感染在6-12个月内会自然清除当持续感染HPV时,由于致癌蛋白E7结合pRB使其功能失活,从而解除了pRBp16INK4a蛋白表达的负反馈机制,引起p16INK4a基因过表达,导致细胞增殖不受控制,标志着致癌转化过程的开始。在这种情况下,IHC可检测出p16INK4a呈过度表达状态。

因此,p16INK4a可作为宫颈癌和重度CIN病变的标志物。常规 p16INK4a在检测辅助H&E判读,可显著提高诊断CIN2CIN3 阳性病变的准确性和判读者间诊断的一致性,还可用于隐匿性病变的检测以及CIN1的预后应用,建议常规p16INK4aH&E联用。

 

p16INK4a检测联合H&E:提高宫颈组织诊断的准确性,有效改善疾病管理

2010年,Bergeron等专家在《美国临床病理学》杂志上发表了一项研究报告。研究人员让来自德国、英国、意大利和西班牙4个国家的12名病理医生同时对500个相同的宫颈标本进行单独诊断。第一次诊断时,只根据H&E切片进行判读;至少4周后,再让他们使用p16INK4a检测联合H&E染色对原先的500个标本进行诊断。结果显示:高达30%的患者二次诊断结果与第一次不同,且二次诊断时医生之间的判断一致率由原先的56.6%上升到74.9%。该研究结果提示:p16INK4a检测联合H&E可显著提高宫颈组织诊断的准确性以及结果判读的一致性。同时,两者联合使用还可进一步改善宫颈疾病患者的整体管理,减少不必要的诊断跟进程序,预测现有的疾病,并对是否存在致癌潜力的病变具有高度敏感性和特异性,阳性结果的判读可重复性高。

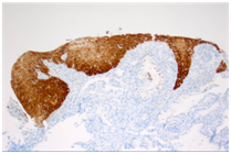
2011年,罗氏诊断收购了德国的mtm laboratories公司,一家全球领先的、专注于宫颈癌早期诊断的公司,推出了CINtec®组织学p16。该产品包含抗p16INK4a抗体(E6H4),鼠克隆单抗,是宫颈疾病诊断领域的新突破,其对p16INK4a阳性及阴性有着明确的判读标准:阳性结果呈弥漫性染色模式(见图1),即一种连续的宫颈鳞状上皮的基底和副基底层细胞层染色,表面细胞层细胞有或没有染色;而阴性结果则呈局灶性染色模式或无着色(见图2),无论是孤立细胞或小的细胞簇的染色,即非连续的染色(特别是基底和副基底层细胞的鳞状上皮细胞无染色)均为阴性。一般CIN1可以显示为无染色,局灶阳性或弥漫性染色。而CIN2CIN3均呈现弥漫性的阳性染色。

20127月,有CAPASCCP的指南建议,使用特定克隆号(E6H4)的p16INK4a抗体作为检测HPV感染是否影响到细胞周期调控的生物标志物,该克隆号是全球唯一获得IVD认证的p16INK4a抗体。

诊断CIN1CIN2CIN3必须依据H&E的形态判断,通过生物标志物p16INK4a能够准确地了解癌前病变,提高CIN等级判读的准确性,确保对患者进行准确的分流以采取适当的随访、治疗措施。罗氏诊断CINtec®组织学p16预计今年在中国上市。

                                               

        1CINtec组织学阳性弥漫性染色模式    2CINtec组织学阴性(局灶性染色模式)


沪ICP备
10024126-2
上海工商
行政管理